
Фото: mz.mosreg.ru
Врачи Детского клинического центра имени Л. М. Рошаля спасли девочку с пятикратным расширением пищевода. Об этом сообщила пресс-служба подмосковного Минздрава.
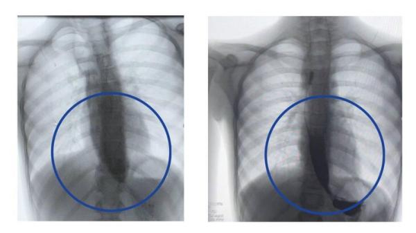
Девятилетняя девочка поступила в медучреждение с редким заболеванием – ахалазией кардии, из-за которого ее пищевод был расширен почти до 4 сантиметров, когда в норме его диаметр составляет от 7 до 10 миллиметров.
Как пояснили в ведомстве, заболевание представляет собой нервно-мышечное расстройство пищевода, при котором нижняя часть последнего, отвечающего за предотвращение попадания содержимого желудка обратно в пищевод, не расслабляется во время глотания. Это препятствует нормальному прохождению пищи в желудок.
Из-за болезни девочка не могла нормально есть и практически не набирала вес. Для устранения проблемы пациентку перевели в хирургическое отделение, где ей предстояло пройти операцию.
«Мы выполнили пероральную эндоскопическую миотомию: через разрез в пищеводе создали подслизистый туннель и рассекли циркулярные мышцы, блокирующие проход пищи», – поделился заведующий отделением эндоскопических методов диагностики Александр Иноземцев.
Данная процедура, по его словам, уже доказала свою эффективность у взрослых, однако в детской практике применяется редко. Тем не менее операция прошла успешно, благодаря чему контрастное исследование подтвердило свободное прохождение пищи в желудок уже на следующий день.
Хирургическое вмешательство было малоинвазивным и не требовало разрезов на коже, что существенно сократило период восстановления для юной пациентки. После завершения лечения девочку выписали домой.
Ранее московские врачи успешно прооперировали 1,5-годовалого мальчика с деформацией черепа. У ребенка был врожденный дефект, связанный с ранним закрытием метопического шва черепа. Из-за этого голова ребенка могла приобрести форму «киля корабля».
Благодаря слаженной работе врачей и специалистов в настоящее время внешность ребенка неотличима от сверстников, а его развитие соответствует норме.
НОВОСТИ В РОССИИ